Lấy tủy răng có ảnh hưởng gì không? Tác hại khi lấy tủy răng sai cách và cách hạn chế rủi ro bạn cần biết?

Lấy tủy răng là giải pháp điều trị bắt buộc khi tủy đã viêm, hoại tử, nhưng cũng khiến nhiều người lo lắng: Liệu lấy tủy xong răng có yếu đi không, có ảnh hưởng sức khỏe không, có đau hay biến chứng về sau không? Bài viết dưới đây sẽ giúp bạn hiểu đúng bản chất của việc lấy tủy răng, những ảnh hưởng có thể gặp và cách điều trị an toàn để hạn chế rủi ro khi lấy tủy.

1. Khi nào cần phải lấy tủy răng?

Tủy răng là phần mô mềm nằm sâu bên trong thân răng và chân răng, chứa hệ thống mạch máu và dây thần kinh có vai trò nuôi dưỡng răng. Khi tủy còn khỏe, răng vẫn có khả năng cảm nhận nóng, lạnh, áp lực khi ăn nhai và tự bảo vệ trước các tác nhân kích thích. Tuy nhiên, khi vi khuẩn xâm nhập sâu qua lớp men và ngà răng, người bệnh sẽ cảm thấy đau kèm theo cảm giác ê buốt kéo dài.

lấy tủy răng có ảnh hưởng sức gì không

Lấy tủy răng (hay còn gọi là điều trị nội nha) là quy trình lấy sạch toàn bộ phần tủy răng bị tổn thương (cả tủy buồng và tủy chân). Sau đó trám kín lại ống chứa tủy và phục hồi răng để tránh nhổ bỏ răng. Trong các trường hợp viêm tủy không hồi phục hoặc tủy đã hoại tử, việc lấy tủy răng (chữa tủy) là chỉ định bắt buộc. Ngược lại, nếu tình trạng tổn thương tủy răng không cấp thiết thì không bắt buộc phải lấy tủy răng.

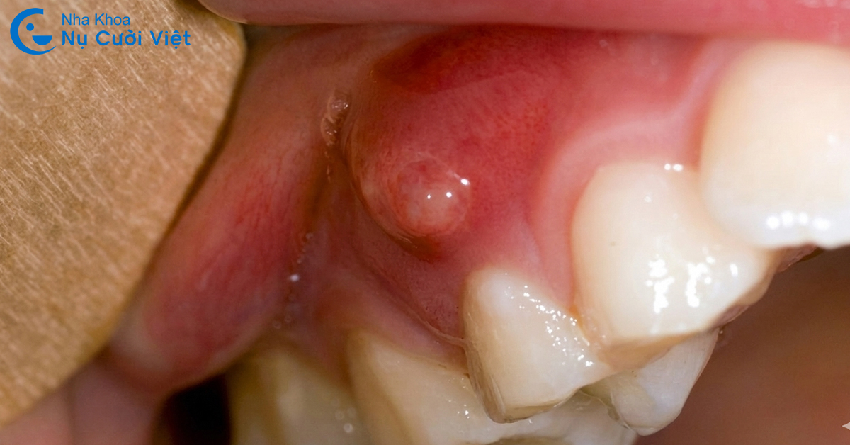
Điều trị tủy răng được bác sĩ chỉ định khi răng có dấu hiệu:

  • Mức độ đau răng không thuyên giảm dù có sử dụng thuốc, đặc biệt là vào buổi tối.

  • Khi chạm vào răng bạn cảm giác răng đang bị lung lay.

  • Răng bị nhiễm trùng khiến nướu bị sưng tấy và đau nhức.

  • Nướu răng nổi mụn nhọt, có thể có mủ và mùi hôi khó chịu.

  • Nướu răng bị đổi màu thâm đen.

2. Lấy tủy răng có ảnh hưởng gì đến sức khỏe không?

Đây là câu hỏi phổ biến nhất khi người bệnh được chỉ định chữa tủy. Về mặt y khoa, lấy tủy răng đúng kỹ thuật, đúng chỉ định không gây ảnh hưởng xấu đến sức khỏe toàn thân. Ngược lại, việc trì hoãn hoặc không điều trị viêm tủy mới là yếu tố tiềm ẩn nhiều rủi ro.

những trường hợp phải lấy tủy răng

Nếu lấy tủy răng đúng chỉ định và đúng kỹ thuật sẽ giúp:

  • Răng không còn cảm giác đau nhức khó chịu, ăn nhai tốt hơn.

  • Cải thiện tình trạng hôi miệng.

  • Ngăn chặn nguy cơ nhiễm trùng lan rộng sang mô xung quanh (nướu, cuống răng, xương) hoặc răng khác.

  • Tránh nhiễm trùng toàn thân gây ra biến chứng nguy hiểm cho sức khỏe như áp xe răng, tiêu xương, đột quỵ,…

Sau khi lấy tủy, răng sẽ mất cảm giác do hệ thống thần kinh đã được loại bỏ. Điều này khiến nhiều người lầm tưởng rằng răng “chết”. Thực tế, răng đã chữa tủy vẫn tồn tại trên cung hàm và đảm nhiệm chức năng ăn nhai nếu được phục hình đúng cách. Tuy nhiên, về lâu dài nếu răng sau lấy tủy không được bọc mão hoặc bảo vệ phù hợp, nguy cơ nứt vỡ thân răng sẽ tăng cao. 

3. Tác hại khi lấy tủy răng sai cách, sai chỉ định

Phương pháp điều trị tủy răng có thể gây ra một số rủi ro không mong muốn sau:

  • Ống tủy không được làm sạch hoàn toàn, vi khuẩn còn sót lại sẽ tiếp tục phát triển, gây viêm quanh chóp răng, dẫn đến đau tái phát, sưng nướu hoặc hình thành áp xe răng.

  • Một số trường hợp khác, việc trám bít ống tủy không kín hoặc vật liệu kém chất lượng có thể khiến vi khuẩn xâm nhập trở lại. Khi đó, răng đã lấy tủy nhưng vẫn đau, buộc phải điều trị lại, thậm chí nhổ bỏ nếu tổn thương lan rộng.

3.1. Răng yếu, giòn và dễ sứt mẻ

  • Sau khi lấy tủy, răng sẽ mất đi nguồn nuôi dưỡng từ mạch máu và dây thần kinh bên trong. Điều này khiến cấu trúc răng trở nên khô hơn, độ đàn hồi giảm và dễ bị nứt, mẻ khi chịu lực nhai mạnh, đặc biệt là ở các răng hàm.

  • Nếu sau điều trị tủy, răng không được phục hình bảo vệ đúng cách như trám phục hồi hoặc bọc mão răng sứ, nguy cơ vỡ thân răng hoặc gãy răng là rất cao.

3.2. Viêm quanh chóp răng do làm sạch ống tủy không triệt để

Do cấu trúc ống tủy phức tạp, cong, hẹp hoặc có nhiều nhánh phụ, nếu bác sĩ không làm sạch và tạo hình ống tủy đúng chuẩn, vi khuẩn sẽ tiếp tục tồn tại và phát triển âm thầm.

Hậu quả là người bệnh có thể gặp tình trạng đau tái phát sau khi đã chữa tủy, nướu sưng, đau khi cắn hoặc xuất hiện ổ viêm quanh chóp răng. Trường hợp nặng hơn có thể hình thành áp xe, tiêu xương ổ răng và buộc phải điều trị lại hoặc nhổ răng nếu viêm nhiễm lan rộng.

tác hại lấy tủy răng sai cách

Viêm quanh cuống răng do nhiễm khuẩn từ tủy răng

3.3. Răng đau nhức, khó chịu

Bác sĩ tay nghề kém, lấy tủy răng không đúng kỹ thuật có thể làm tổn thương dây thần kinh ở răng hoặc vùng xung quanh gây đau nhức. Bên cạnh đó, nếu lấy tủy không triệt để thì phần tủy sót lại khiến bệnh viêm tủy răng tái phát và gây đau nhức.

3.4. Răng bị xỉn màu, ảnh hưởng thẩm mỹ

Tủy răng đóng vai trò quan trọng trong việc duy trì màu sắc tự nhiên của răng. Khi tủy bị lấy đi, răng không còn được nuôi dưỡng từ bên trong, lâu dần có thể chuyển sang màu sẫm hơn so với các răng còn tủy xung quanh.

Nếu bác sĩ không có kế hoạch phục hình phù hợp, đặc biệt với các răng cửa hoặc răng vùng thẩm mỹ, tình trạng xỉn màu này sẽ ảnh hưởng đến thẩm mỹ. 

3.5. Tác động vào xoang mũi

Bác sĩ lấy tủy sai cách có thể khiến chất lỏng trong hàm rò rỉ qua màng trong mũi. Tình trạng này sẽ gây viêm ở khoang mũi, khiến bệnh nhân bị đau đầu và nghẹt mũi.

Do đó, bạn cần chọn cơ sở nha khoa uy tín để thực hiện. Đặc biệt quy trình lấy tủy cần đảm bảo an toàn, vệ sinh, theo chuẩn các bước cần thiết để hạn chế tối đa rủi ro không đáng có.

4. Làm sao để hạn chế rủi ro khi lấy tủy răng?

Thực tế, hầu hết các biến chứng sau lấy tủy đều có thể phòng tránh nếu điều trị đúng thời điểm, đúng kỹ thuật và chăm sóc phù hợp sau điều trị. Dưới đây là những yếu tố quan trọng giúp hạn chế tối đa rủi ro khi lấy tủy răng:

4.1. Lấy tủy răng sớm khi đã được bác sĩ chỉ định

Nếu giai đoạn viêm tủy rơi vào tình trạng viêm không hồi phục, việc trì hoãn điều trị sẽ không giúp răng tự khỏi mà ngược lại còn khiến tổn thương lan rộng hơn. Điều trị tủy sớm giúp loại bỏ nhanh chóng ổ viêm nhiễm, chấm dứt cơn đau nhức kéo dài do viêm tủy gây ra. Bảo tồn tối đa cấu trúc răng thật, các mô xung quanh, hạn chế nguy cơ vi khuẩn lây lan và giảm đáng kể nguy cơ phải nhổ bỏ răng.

cách giảm nguy cơ bị viêm tủy

Thăm khám và kiểm tra sớm để phòng nguy cơ viêm tủy

4.2. Điều trị tủy tại nha khoa uy tín, bác sĩ chuyên môn cao

Chất lượng điều trị tủy phụ thuộc rất lớn vào tay nghề bác sĩ và hệ thống trang thiết bị hỗ trợ. Một cơ sở nha khoa uy tín sẽ đảm bảo thăm khám kỹ lưỡng, chẩn đoán đúng tình trạng tủy và chỉ định lấy tủy khi thực sự cần thiết, tránh tình trạng điều trị quá mức hoặc sai chỉ định.

Tại Nha khoa Nụ Cười Việt, điều trị tủy được thực hiện an toàn, hiệu quả với:

Đội ngũ bác sĩ chuyên môn sâu về nội nha: Bác sĩ tại Nụ Cười Việt có nền tảng chuyên môn vững chắc trong điều trị nội nha, nhiều năm kinh nghiệm xử lý các ca viêm tủy từ đơn giản đến phức tạp. Quá trình lấy tủy được thực hiện nhẹ nhàng, chính xác, hạn chế tối đa cảm giác đau nhức và nguy cơ biến chứng sau điều trị.

Trang thiết bị và công nghệ hỗ trợ hiện đại: Hệ thống máy móc chẩn đoán và điều trị hiện đại giúp kiểm soát chiều dài ống tủy chính xác, làm sạch triệt để và trám bít kín hệ thống ống tủy. Nhờ đó, nguy cơ sót tủy, viêm tái phát hay đau kéo dài sau chữa tủy được giảm thiểu rõ rệt.

Quy trình điều trị chuẩn y khoa, vô trùng nghiêm ngặt: Quy trình chữa tủy tại Nụ Cười Việt được thực hiện tuần tự theo tiêu chuẩn y khoa, đảm bảo vô trùng trong suốt quá trình điều trị. Bác sĩ sẽ thăm khám, chụp phim đánh giá tình trạng ống tủy, tiến hành làm sạch - tạo hình - trám bít ống tủy và phục hình thân răng phù hợp nhằm bảo vệ răng sau lấy tủy.

Chi phí rõ ràng, tư vấn minh bạch: Chi phí điều trị tủy được tư vấn cụ thể ngay từ đầu, phù hợp với từng tình trạng răng. Khách hàng được giải thích rõ phương án điều trị, thời gian thực hiện và không phát sinh chi phí ngoài kế hoạch, giúp an tâm trong suốt quá trình điều trị.

5. Chăm sóc răng như thế nào sau khi lấy tủy để tránh biến chứng?

5.1. Chú ý chế độ ăn uống phù hợp

Trong vài giờ đầu sau khi điều trị tủy, bạn nên hạn chế ăn uống để tránh ảnh hưởng đến chất trám. Với những trường hợp điều trị tủy nhiều buổi, nên ưu tiên thức ăn mềm, dễ nhai và tránh dùng lực mạnh ở răng đang điều trị. Sau khi hoàn tất quá trình chữa tủy và phục hình răng, bạn có thể ăn uống bình thường theo hướng dẫn của bác sĩ.

5.2. Tái khám đúng lịch hẹn

Tái khám định kỳ giúp bác sĩ kiểm tra độ kín của miếng trám, tình trạng mão sứ (nếu có) và phát hiện sớm các dấu hiệu bất thường. Nếu sau điều trị tủy xuất hiện tình trạng đau nhức kéo dài, sưng hoặc khó chịu, người bệnh nên liên hệ ngay với nha khoa để được kiểm tra và xử lý kịp thời, tránh biến chứng về sau.

Lấy tủy răng không gây hại cho sức khỏe nếu được thực hiện đúng chỉ định, đúng kỹ thuật và có kế hoạch phục hình bảo vệ răng sau điều trị. Khi được điều trị tại cơ sở nha khoa uy tín, bởi bác sĩ có chuyên môn về nội nha, răng sau khi chữa tủy vẫn có thể ăn nhai ổn định và duy trì lâu dài trên cung hàm.

Hy vọng qua bài viết này, bạn sẽ hiểu đầy đủ hơn về việc lấy tủy răng, từ đó an tâm hơn khi được bác sĩ chỉ định điều trị. Nếu còn bất kỳ thắc mắc nào liên quan đến chữa tủy răng, liên hệ Nha khoa Nụ Cười Việt để được bác sĩ tư vấn và thăm khám MIỄN PHÍ nhé!