Trám răng
Trám răng là một trong những dịch vụ được nhiều khách hàng lựa chọn tại nha khoa Nụ Cười Việt để phục hồi răng bị sâu, mẻ, nứt vỡ hoặc mất mô răng do mòn men. Không chỉ giúp bảo vệ răng thật, phương pháp này còn mang lại tính thẩm mỹ cao và cảm giác ăn nhai tự nhiên.
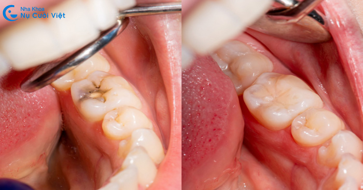
1.Trám răng là gì?
Trám răng là gì?
Trám răng (hay còn gọi là hàn răng) là kỹ thuật sử dụng vật liệu nha khoa chuyên dụng để lấp đầy phần mô răng bị khuyết do sâu răng, mẻ vỡ, hoặc mòn men. Ngoài việc phục hồi hình thể và chức năng răng, trám răng còn giúp:
-
Ngăn ngừa vi khuẩn xâm nhập.
-
Bảo vệ tủy răng.
-
Duy trì khả năng ăn nhai và thẩm mỹ cho hàm răng.
Tại nha khoa Nụ Cười Việt, trám răng được thực hiện theo quy trình chuẩn quốc tế, sử dụng vật liệu cao cấp, đảm bảo độ bền chắc, màu sắc tự nhiên và an toàn tuyệt đối cho sức khỏe răng miệng.
2. Các trường hợp nên trám răng

Các trường hợp bạn nên trám răng
Bạn nên cân nhắc thực hiện trám răng trong các trường hợp sau:
-
Sâu răng nhẹ đến trung bình: Khi tổn thương chưa lan đến tủy răng.
-
Răng bị mẻ, vỡ nhỏ: Do tai nạn, chấn thương hoặc nhai thức ăn cứng.
-
Răng bị mòn men: Do tuổi tác, thói quen nghiến răng hoặc chải răng sai cách.
-
Khe thưa răng nhỏ: Trám để cải thiện thẩm mỹ mà không cần niềng răng.
-
Trám răng thẩm mỹ: Che khuyết điểm răng như răng xỉn màu, hình dáng chưa đẹp.
Nụ Cười Việt luôn thực hiện thăm khám kỹ lưỡng trước khi chỉ định, đảm bảo mỗi khách hàng được tư vấn phương án phù hợp nhất.
3. Các hình thức trám răng phổ biến

Các hình thức trám răng phổ biến
Hiện nay, tại Nụ Cười Việt, các hình thức trám răng được áp dụng bao gồm:
-
Trám răng phòng ngừa: Che phủ hố rãnh trên mặt nhai răng hàm để ngăn ngừa sâu răng.
-
Trám răng điều trị: Lấp đầy lỗ sâu sau khi làm sạch mô bệnh.
-
Trám răng thẩm mỹ: Chỉnh sửa hình dáng, cải thiện màu sắc và tỷ lệ răng.
-
Trám răng cổ răng: Khi bị mòn cổ chân răng do tụt nướu hoặc chải răng sai cách.
Mỗi hình thức sẽ được lựa chọn tùy theo tình trạng răng miệng và nhu cầu thẩm mỹ của từng khách hàng.
4. Quy trình trám răng tại Nụ Cười Việt

Quy trình trám răng thẩm mỹ tại Nha khoa Nụ Cười Việt:
Bước 1: Thăm khám và tư vấn
Khám tổng quát tình trạng răng miệng và điều trị cần thiết trước khi thực hiện trám răng.
Bước 2: Vệ sinh khoang miệng
Bác sĩ sẽ tiến hành vệ sinh, sát trùng, sát khuẩn răng miệng, đặc biệt là vị trí trám răng
Bước 3: Đưa chất trám lên răng và tạo hình
Bác sĩ sử dụng các dụng cụ chuyên dụng để đưa chất gắn trám lên răng. Sau đó tạo hình chất trám vừa khít với vết răng hỏng, giống răng thật và thẩm mỹ.
Bước 4: Chiếu đèn laser
Sau khi tạo hình, bác sĩ sẽ dùng đèn chiếu laser trong 30-45 giây, kích hoạt chất trám giúp gắn chặt với răng bền vững.
Toàn bộ quá trình trám răng cực kỳ nhanh chóng chỉ mất từ 20–45 phút tùy vào độ phức tạp của ca trám.
5. Bảng giá trám răng mới nhất tại Nụ Cười Việt
Nụ Cười Việt cam kết mức chi phí hợp lý, công khai, minh bạch. Dưới đây là bảng giá trám răng được cập nhật mới nhất:
Bảng giá trám răng chi tiết tại Nha Khoa Nụ Cười Việt
Trám răng là một giải pháp phục hình đơn giản nhưng mang lại hiệu quả to lớn, không chỉ giúp bạn duy trì chức năng ăn nhai mà còn giữ được nụ cười đẹp tự nhiên. Với đội ngũ bác sĩ giàu kinh nghiệm và công nghệ hiện đại, Nụ Cười Việt tự hào là địa chỉ uy tín đồng hành cùng bạn trong hành trình chăm sóc nụ cười khỏe đẹp mỗi ngày.
>
