Tụt lợi hở chân răng có chữa được không? Dấu hiệu & cách điều trị hiệu quả
Tụt lợi hở chân răng là tình trạng răng miệng phổ biến nhưng lại thường bị bỏ qua vì không gây đau nhức dữ dội ngay từ đầu. Tuy nhiên, nếu không được điều trị đúng cách sẽ có nguy cơ ê buốt kéo dài, viêm nha chu, tiêu xương và thậm chí mất răng vĩnh viễn. Bài viết dưới đây, Nụ Cười Việt sẽ giúp bạn hiểu rõ hơn về tình trạng tụt lợi hở chân răng, nguyên nhân, mức độ nguy hiểm và các giải pháp điều trị hiệu quả.
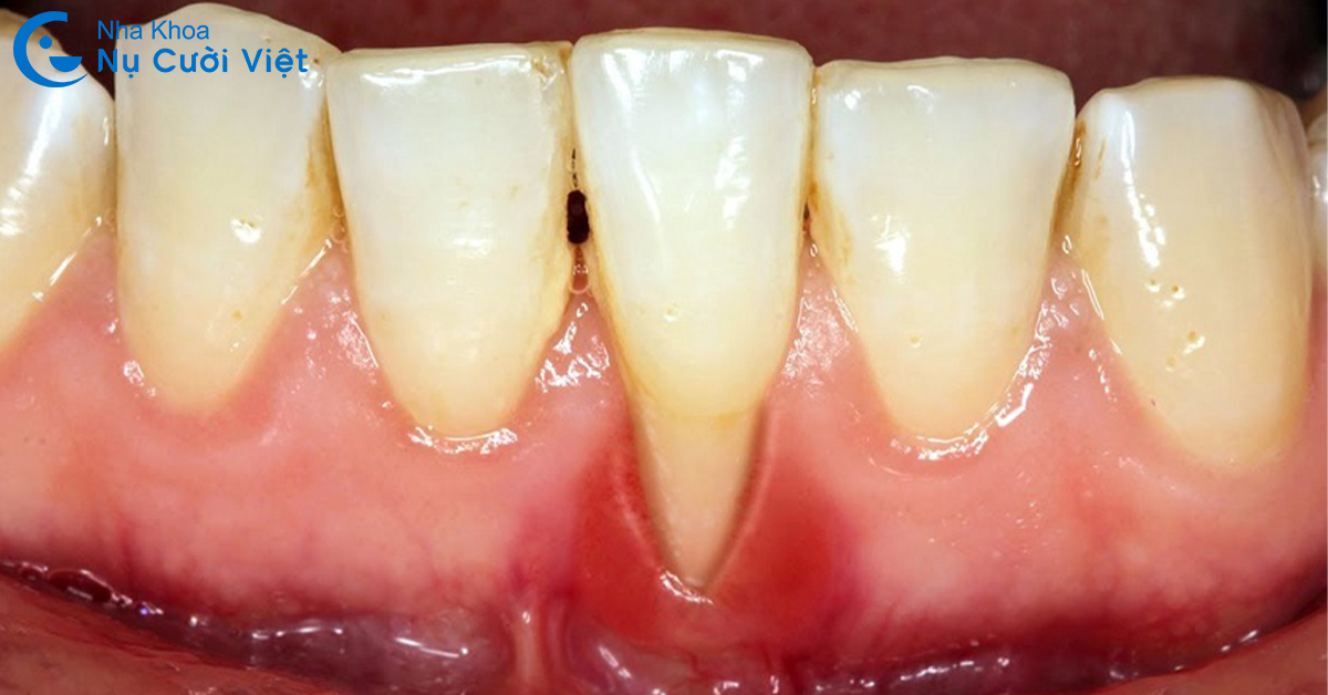
Tụt lợi hở chân răng là gì?
Tụt lợi hở chân răng (hay còn gọi là tụt nướu) là tình trạng mô nướu bị co rút dần khỏi vị trí ban đầu, khiến phần chân răng vốn được bảo vệ bên dưới bị lộ ra ngoài. Khác với thân răng được bao phủ bởi men răng cứng chắc, chân răng chỉ được bảo vệ bởi lớp cement và ngà răng, những cấu trúc rất nhạy cảm và dễ tổn thương.
Tình trạng tụt lợi có thể xảy ra ở một răng, nhiều răng hoặc toàn hàm; thường gặp nhất ở vùng răng cửa và răng nanh. Nếu không được can thiệp sớm, tụt lợi không chỉ ảnh hưởng đến thẩm mỹ nụ cười mà còn làm suy yếu hệ thống nâng đỡ răng (nướu, xương ổ răng, dây chằng nha chu), gây nguy cơ mất răng về lâu dài.

Dấu hiệu của tụt lợi hở chân răng
Tụt lợi thường tiến triển âm thầm, không gây đau rõ rệt ở giai đoạn đầu nên rất dễ bị bỏ sót. Vì vậy, bạn cần đặc biệt lưu ý nếu gặp các dấu hiệu sau đây:
-
Nướu tụt thấp, lộ rõ chân răng: Đường viền lợi không còn ôm sát cổ răng, răng trông dài và to hơn bất thường.
-
Ê buốt, nhạy cảm răng: Răng phản ứng mạnh với đồ nóng, lạnh, chua, ngọt do ngà răng bị lộ.
-
Nướu đỏ, sưng, dễ chảy máu: Nhất là khi chải răng hoặc dùng chỉ nha khoa để vệ sinh răng miệng.
-
Xuất hiện khe hở giữa răng và nướu: Điều này tạo điều kiện cho mảng bám và vi khuẩn tích tụ.
-
Hơi thở có mùi dai dẳng: Do vi khuẩn phát triển dưới viền nướu.
-
Răng lung lay nhẹ, sai lệch vị trí: Dấu hiệu cho thấy mô nha chu và xương ổ răng đã bị ảnh hưởng.
Những biểu hiện này chính là “tín hiệu cảnh báo sớm” cho thấy sức khỏe nướu đang gặp vấn đề và cần được kiểm tra chuyên sâu. Triệu chứng của tụt lợi có thể khó phát hiện, thậm chí không hề có bất kỳ triệu chứng nào, vì vậy khám răng định kỳ là việc hết sức quan trọng giúp bác sĩ nhận biết các dấu hiệu ban đầu của bệnh.
Nguyên nhân tụt lợi hở chân răng
Dưới đây là một số nguyên nhân phổ biến gây ra tình trạng tụt lợi bao gồm:
Chải răng và dùng chỉ nha khoa sai cách
Đánh răng quá mạnh, sử dụng bàn chải lông cứng hoặc thao tác kéo chỉ nha khoa sai kỹ thuật có thể gây tổn thương mô nướu. Tình trạng này lặp đi lặp lại sẽ có thể làm mòn lớp men răng bên ngoài, gây ra tổn thương và tụt lợi.

Răng mọc lệch, khớp cắn sai
Răng mọc chen chúc, lệch trục hoặc khớp cắn không chuẩn tạo áp lực không đồng đều lên nướu và xương ổ răng. Theo thời gian, vùng nướu mỏng yếu sẽ bị co rút, dẫn đến tụt lợi chân răng.
Bệnh lý răng miệng
Viêm lợi, viêm nha chu, cao răng tích tụ lâu ngày là nguyên nhân hàng đầu gây tụt lợi. Vi khuẩn phá hủy mô liên kết và xương nâng đỡ răng, khiến nướu không còn khả năng bám chắc vào chân răng.

Hút thuốc lá
Việc sử dụng chất nicotin có trong thuốc lá làm tăng nguy cơ tụt nướu do tăng khả năng gặp các vấn đề răng miệng bởi một vài nguyên nhân, bao gồm cả sự suy yếu của hệ thống miễn dịch và ức chế dòng chảy của tuyến nước bọt, cho phép hình thành nhiều mảng bám hơn.
Nghiến răng
Thói quen nghiến răng, đặc biệt khi ngủ, tạo lực nhai quá mức lên răng và mô nha chu. Áp lực kéo dài khiến cổ răng bị mòn và nướu bị co rút theo thời gian.
Tụt lợi hở chân răng có nguy hiểm không?
Tụt lợi chân răng không gây nguy hiểm đến tính mạng. Tuy nhiên, nó lại gây ra nhiều ảnh hưởng nghiêm trọng đến sức khỏe răng miệng như:
-
Ăn uống khó khăn: Lợi trở nên nhạy cảm, dễ bị đau nhức và khó bám chắc vào phần chân răng, khiến răng dễ bị lung lay. Chính vì vậy, khi ăn uống bạn cũng cảm thấy khó khăn hơn, mất cảm giác ngon miệng khi thưởng thức đồ ăn.
-
Mất thẩm mỹ: Tình trạng này làm răng to và dài bất thường hơn so với những chiếc răng còn lại. Hàm răng lúc này cũng trở nên lộn xộn hơn và làm mất thẩm mỹ, khiến người bệnh trở nên tự ti, mất đi nụ cười tự nhiên.
-
Sâu răng, hôi miệng: Tụt lợi khiến phần lợi bị co lại và không còn bao bọc được hết phần chân răng. Lâu dần làm xuất hiện những kẽ hở và làm cho thức ăn, mảng bám dễ giắt vào các kẽ răng, khó vệ sinh.
-
Răng suy yếu: Tụt lợi nếu không được điều trị kịp thời dẫn đến mòn cổ răng, lộ ngà răng và tạo điều kiện cho vi khuẩn xâm nhập gây viêm, ê buốt răng và thậm chí mất răng vĩnh viễn.
Vì vậy, tụt lợi hở chân răng không nên xem nhẹ, đặc biệt khi đã xuất hiện triệu chứng ê buốt hoặc răng lung lay. Với tình trạng hở chân răng có những diễn biến nặng như bị viêm nha chu ở vùng chân răng bị tụt nướu, sâu răng,… thì người bệnh nên đi thăm khám tại nha khoa để có hướng điều trị kịp thời.
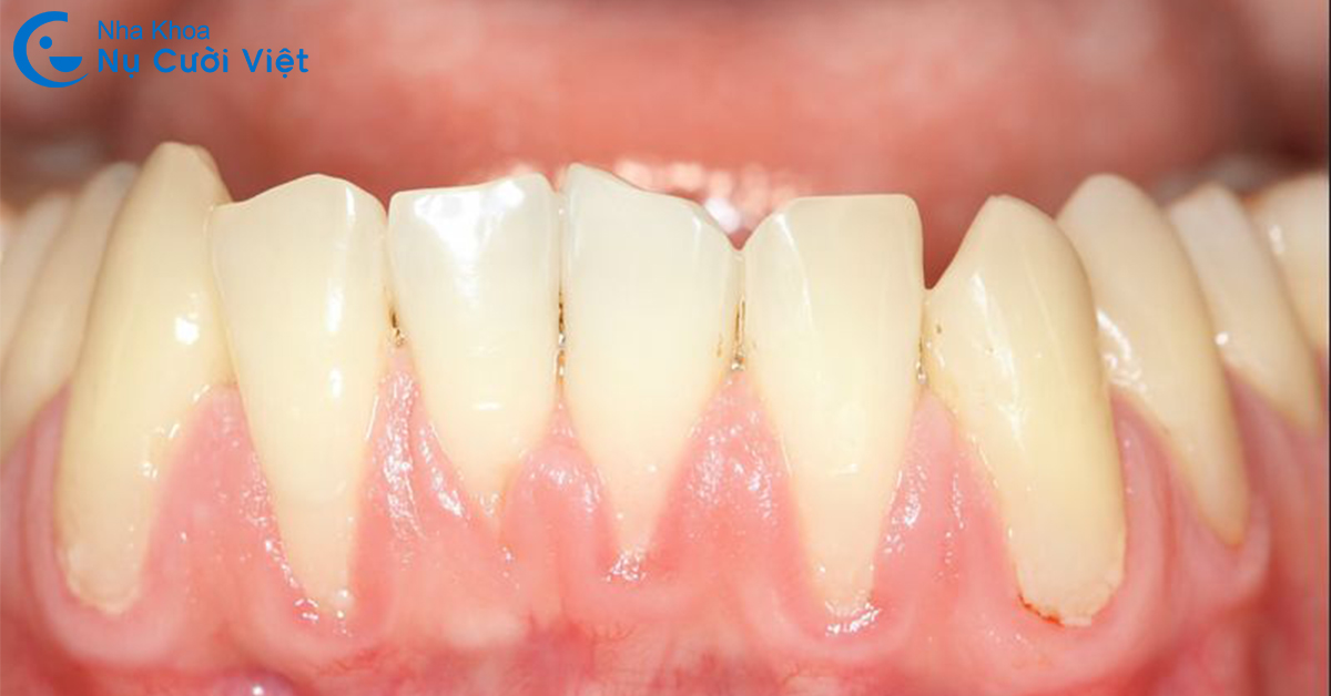
Cách điều trị tụt lợi hở chân răng hiệu quả
Tụt lợi và cách khắc phục là một vấn đề cần được quan tâm. Không chỉ giúp cải thiện khả năng nhai của người bệnh mà còn là biện pháp giúp ngăn ngừa một số bệnh lý liên quan đến sức khỏe răng miệng.
Để khắc phục tình trạng này, mọi người có thể tham khảo và áp dụng một số biện pháp dưới đây:
Trường hợp tụt lợi nhẹ
-
Lấy cao răng, làm sạch mảng bám dưới nướu.
-
Điều trị viêm lợi bằng thuốc và dung dịch chuyên dụng.
-
Hướng dẫn kỹ thuật chải răng, dùng chỉ nha khoa đúng cách.
-
Sử dụng kem đánh răng chứa fluoride hoặc chất giảm ê buốt.

Trường hợp tụt lợi nặng
Khi chân răng lộ nhiều, nướu viêm sâu hoặc đã tiêu xương, bác sĩ có thể chỉ định:
-
Phẫu thuật loại bỏ túi nha chu, làm sạch vi khuẩn triệt để.
-
Ghép mô nướu tự thân, che phủ phần chân răng bị lộ, cải thiện thẩm mỹ và chức năng.
-
Ghép xương ổ răng, trong trường hợp tiêu xương nghiêm trọng.

Tại Nha khoa Nụ Cười Việt, mọi phác đồ điều trị tụt lợi đều được xây dựng dựa trên thăm khám lâm sàng, chụp phim và đánh giá toàn diện sức khỏe nha chu, đảm bảo hiệu quả lâu dài và an toàn cho bệnh nhân.
Biện pháp phòng ngừa tụt lợi hở chân răng
Phòng ngừa tụt lợi hở chân răng từ sớm là cách tốt nhất để bảo vệ sức khỏe răng miệng. Cùng điểm danh những biện pháp đơn giản, hiệu quả và áp dụng ngay nhé
-
Đánh răng ít nhất 2 lần/ngày với bàn chải lông mềm, đúng kỹ thuật.
-
Dùng chỉ nha khoa và nước súc miệng để làm sạch kẽ răng.
-
Thăm khám nha khoa, lấy cao răng định kỳ 3–6 tháng/lần.
-
Hạn chế hút thuốc lá, tránh nghiến răng (có thể dùng máng chống nghiến).
-
Xây dựng chế độ ăn uống khoa học, giàu vitamin và khoáng chất.
Tụt lợi hở chân răng không chỉ là vấn đề thẩm mỹ mà còn là dấu hiệu cảnh báo sức khỏe nha chu đang suy giảm. Việc phát hiện và điều trị sớm sẽ giúp bảo tồn răng thật, ngăn ngừa biến chứng tiêu xương và mất răng vĩnh viễn. Hy vọng bài viết này đã cung cấp các thông tin hữu ích cho người bệnh về tình trạng tụt lợi, đặc biệt là một số biện pháp giúp khắc phục tụt lợi nhằm hạn chế tiến triển bệnh trở nên trầm trọng hơn.
Nếu bạn đang gặp các dấu hiệu như lộ chân răng, ê buốt, nướu co rút… hãy đến Nha khoa Nụ Cười Việt để được thăm khám chuyên sâu và tư vấn giải pháp điều trị phù hợp, an toàn và hiệu quả nhé!
Tin liên quan
Tụt lợi hở chân răng có chữa được không? Dấu hiệu & cách điều trị hiệu quả
Niềng răng có cần phải nhổ răng khôn không? Trường hợp nào cần nhổ
Mài răng bọc sứ có làm răng thật yếu đi không, có đau không?
Hậu quả bọc răng sứ giá rẻ: Nắm ngay để tránh ảnh hưởng đến sức khỏe răng miệng của bạn
Trẻ 3 tuổi có trám răng được không?
Răng mọc lộn xộn thì nên chọn niềng răng hay bọc sứ?
>







