Khớp cắn đối đầu: Dấu hiệu, nguyên nhân và làm thế nào để điều trị hiệu quả

Khớp cắn đối đầu là một dạng sai lệch khớp cắn thường gặp nhưng lại dễ bị bỏ qua vì mức độ ban đầu khá nhẹ. Tuy nhiên, nếu không được phát hiện và can thiệp kịp thời, tình trạng này có thể kéo theo nhiều vấn đề răng miệng về lâu dài. Vậy khớp cắn đối đầu là gì, nguyên nhân do đâu và đâu là giải pháp khắc phục hiệu quả, an toàn? Cùng Nụ Cười Việt tìm hiểu chi tiết trong bài viết dưới đây.

khớp cắn đối đầu là gì

1. Khớp cắn đối đầu là như thế nào?

Khớp cắn đối đầu (khớp cắn đối đỉnh) là tình trạng nhóm răng cửa hàm trên chạm vào phần rìa cắn của nhóm răng cửa hàm dưới khi đóng chặt hàm, tạo thành một khoảng hở khá lớn giữa hai vùng răng hàm.

Đây được xem là một dạng sai khớp cắn có thể xuất phát từ bất thường răng, xương hàm hoặc sự kết hợp của cả hai. Khớp cắn đối đầu có thể xuất hiện ở răng cửa, răng nanh hoặc lan rộng toàn bộ cung hàm, tùy mức độ nặng nhẹ.

2. Dấu hiệu nhận biết khớp cắn đối đầu

Khớp cắn đối đầu được xếp vào nhóm sai lệch khớp cắn mức độ nhẹ, thường là biến thể của khớp cắn ngược răng trước. Do mức độ sai lệch không quá rõ ràng nên nhiều người dễ nhầm lẫn với khớp cắn chuẩn nếu chỉ quan sát bằng mắt thường. Tuy nhiên, tình trạng này vẫn có những dấu hiệu giúp nhận biết tương đối chính xác:

  • Răng cửa và răng nanh hàm trên, hàm dưới chạm đối đầu khi cắn lại. Trong nhiều trường hợp, cạnh cắn của hai hàm tiếp xúc trực diện.

  • Khi nhìn nghiêng, môi trên có xu hướng thụt nhẹ vào so với môi dưới, do răng cửa hàm trên không đủ độ nhô ra phía trước để nâng đỡ môi.

  • Các răng hàm không ăn khớp hoàn toàn khi cắn chặt, lực nhai phân bố không đều, dễ gây cảm giác cấn cộm hoặc mỏi hàm khi ăn nhai.

  • Răng cửa có dấu hiệu mòn cạnh sớm do lực nhai tác động trực tiếp theo chiều đối diện, đặc biệt ở những người có thói quen nghiến răng.

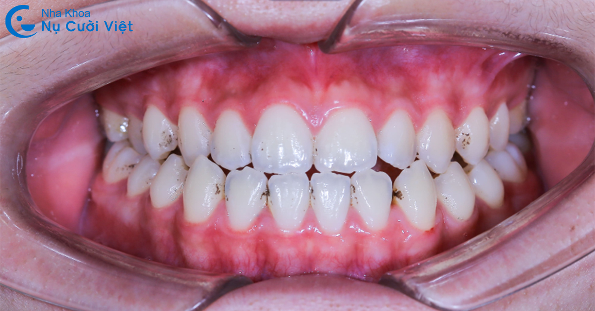
dấu hiệu của khớp cắn đối đầu

Khớp cắn đối đầu có đặc điểm là răng cửa hàm trên và hàm dưới chạm trực tiếp vào nhau ở phần cạnh cắn

Cách phân biệt giữa 2 trường hợp khớp cắn chuẩn và khớp cắn đối đầu:

  • Khớp cắn chuẩn: Nhóm răng cửa trên che phủ phần ngoài của hàm dưới, rìa răng hàm dưới tiếp xúc với chân răng hàm trên ở mức độ 2/3 khi hàm đang nghỉ. Nhóm răng hàm sau sẽ tiếp xúc với nhau ở mặt ăn nhai. Khi cắn, sẽ có sự khít chặt và không có khe hở.
  • Khớp cắn đối đầu: Rìa răng của cả hai hàm tiếp xúc với nhau khi hàm đang nghỉ, trong khi các răng hàm có thể chạm nhau hoặc không. Đặc biệt, khi nhìn từ góc độ nghiêng, môi hàm trên sẽ bị thụt vào. 

Để xác định chính xác có phải khớp cắn đối đầu hay không, cần thăm khám trực tiếp và phân tích khớp cắn bởi bác sĩ chỉnh nha, tránh nhầm lẫn với khớp cắn chuẩn hoặc các dạng sai khớp cắn khác.

3. Nguyên nhân gây khớp cắn đối đầu

3.1 Di truyền

Những đặc điểm về cấu trúc xương hàm, kích thước hàm trên, hàm dưới hay hướng mọc răng có thể được di truyền từ thế hệ trước sang thế hệ sau. Nếu trong gia đình có ông bà, cha mẹ bị khớp cắn đối đầu, thì con cái khi sinh ra cũng có nguy cơ mắc phải tình trạng này.

3.2 Sai lệch xương hàm

Sai lệch xương hàm là nguyên nhân phổ biến trong các trường hợp khớp cắn đối đầu mức độ trung bình đến nặng. Khi xương hàm trên không phát triển đầy đủ hoặc xương hàm dưới phát triển quá mức, tương quan hai hàm bị phá vỡ, dẫn đến việc răng trên và răng dưới không có độ phủ sinh lý.

Đối với những trường hợp này, việc chỉ điều chỉnh răng đơn thuần thường không mang lại hiệu quả tối ưu. Bác sĩ cần đánh giá chính xác nguyên nhân từ răng hay xương để có hướng điều trị phù hợp, tránh tình trạng điều trị không triệt để hoặc dễ tái phát về sau.

3.3 Thói quen xấu khi còn nhỏ

Các thói quen như mút tay kéo dài, đẩy lưỡi khi nuốt, thở miệng hoặc thường xuyên cắn các vật cứng khi còn nhỏ nếu không được phát hiện và can thiệp sớm, răng và xương hàm sẽ phát triển theo hướng lệch chuẩn, làm tăng nguy cơ sai khớp cắn. Đây cũng là lý do vì sao các bác sĩ nha khoa luôn khuyến cáo phụ huynh nên đưa trẻ đi khám răng định kỳ từ sớm để kịp thời điều chỉnh.

nguyên nhân gây khớp cắn đối đầu

Thói quen xấu như đẩy lưỡi, mút tay, ngậm núm vú giả lâu dài là yếu tố gây khớp cắn đối đỉnh

Nếu bạn có những dấu hiệu trên, việc thăm khám sớm sẽ giúp xác định chính xác mức độ và phương án điều trị phù hợp.

4. Khớp cắn đối đầu có nguy hiểm không?

Mặc dù được xếp vào nhóm sai lệch khớp cắn mức độ nhẹ, khớp cắn đối đầu vẫn có thể gây ra nhiều ảnh hưởng tiêu cực nếu không được theo dõi và can thiệp đúng cách:

4.1 Ảnh hưởng thẩm mỹ khuôn mặt về lâu dài

Khớp cắn đối đầu ảnh hưởng trực tiếp đến thẩm mỹ tổng thể của gương mặt. Khi răng trên và răng dưới chạm trực diện, nụ cười thường thiếu độ cong tự nhiên, môi không được nâng đỡ đầy đủ, khiến khuôn mặt trông cứng và kém hài hòa. Ở một số trường hợp, tình trạng này còn làm lộ rõ khuyết điểm vùng miệng, khiến người bệnh thiếu tự tin khi giao tiếp.

Về lâu dài, sự mất cân đối này có thể khiến gương mặt trông già hơn so với tuổi thật, đặc biệt là khi răng bị mòn hoặc ngắn dần do lực nhai tác động trực tiếp.

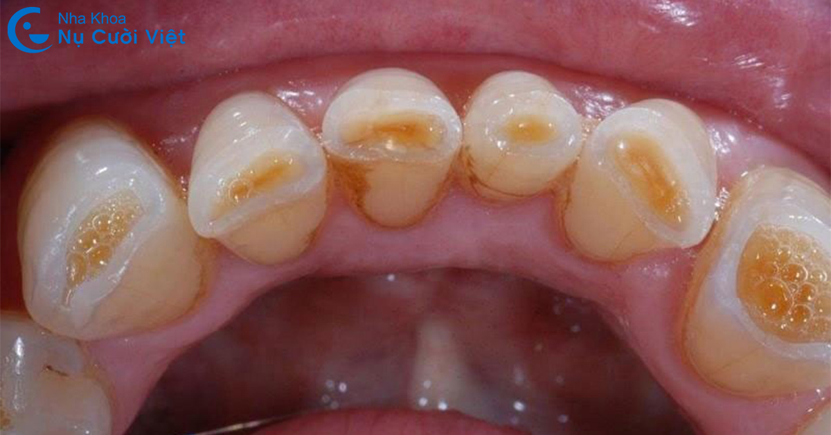
khớp cắn đối đầu gây mòn răng

4.2 Giảm hiệu quả ăn nhai, tăng nguy cơ đau khớp thái dương hàm

Khớp cắn đối đầu làm lực nhai không được phân bố đều như khớp cắn chuẩn. Khi ăn nhai, răng phải chịu áp lực trực tiếp từ răng đối diện, dễ dẫn đến mòn men răng, sứt mẻ răng và cảm giác ê buốt kéo dài. Người bệnh thường cảm thấy mỏi hàm, khó nhai thức ăn cứng hoặc dai, ảnh hưởng đến chất lượng bữa ăn hàng ngày.

Ngoài ra, sự sai lệch khớp cắn còn gây áp lực lớn lên khớp thái dương hàm, có thể dẫn đến đau hàm, hạn chế há miệng hoặc phát ra tiếng kêu khi cử động hàm.

4.3 Dễ mắc các bệnh lý răng miệng

Khi khớp cắn không chuẩn, răng thường bị mòn, xô lệch hoặc tiếp xúc bất thường, tạo điều kiện cho mảng bám và vi khuẩn tích tụ. Việc vệ sinh răng miệng trở nên khó khăn hơn, làm tăng nguy cơ sâu răng, viêm nướu và viêm nha chu.

Nếu không được điều trị kịp thời, các bệnh lý này có thể tiến triển nặng, ảnh hưởng đến tuổi thọ của răng và thậm chí gây mất răng sớm. Do đó, khớp cắn đối đầu không chỉ là vấn đề thẩm mỹ mà còn là tình trạng cần được quan tâm và can thiệp sớm để bảo vệ sức khỏe răng miệng lâu dài.

5. Phương pháp khắc phục khớp cắn đối đầu

Tùy vào nguyên nhân và mức độ sai lệch, bác sĩ sẽ chỉ định phương pháp điều trị phù hợp nhằm đảm bảo hiệu quả và tính bền vững.

Niềng răng chỉnh nha

Niềng răng là giải pháp được ưa chuộng nhất hiện nay để khắc phục các khuyết điểm về răng, phù hợp với mọi mức độ từ nhẹ đến nặng. Niềng răng không chỉ giúp điều trị triệt để tình trạng khớp cắn đối đỉnh mà còn giúp bảo vệ tối đa răng thật, không gây tác động đến cấu trúc răng. Bác sĩ sử dụng các dụng cụ nha khoa để tạo ra lực kéo hoặc đẩy, nhằm dịch chuyển các răng mọc sai lệch về vị trí mong muốn. Một số hình thức niềng răng phổ biến như:

niềng răng khắc phục khớp cắn đối đầu

Kết quả niềng răng Invisalign khắc phục khớp cắn đối đầu cho khách hàng Nụ Cười Việt

Phương pháp này phù hợp với cả người trẻ và người trưởng thành, mang lại hiệu quả lâu dài mà vẫn bảo tồn tối đa răng thật.

Bọc răng sứ

Trong một số trường hợp khớp cắn đối đầu nhẹ, nguyên nhân chủ yếu do hình thể răng, bọc răng sứ có thể được chỉ định để điều chỉnh lại độ phủ răng. Tuy nhiên, đây không phải giải pháp tối ưu cho mọi trường hợp, bởi việc mài răng cần được cân nhắc kỹ lưỡng và thực hiện bởi bác sĩ có chuyên môn cao. 

Phẫu thuật hàm

Trong những trường hợp khớp cắn đối đầu nặng, nguyên nhân chính là do xương hàm phát triển không cân đối, bác sĩ sẽ chỉ định phẫu thuật hàm để điều chỉnh. Bác sĩ sẽ can thiệp vào xương hàm, đưa hàm về vị trí đúng, từ đó giúp hai hàm ăn khớp với nhau và cải thiện chức năng ăn nhai.

Nếu khớp cắn đối đầu xuất phát từ cả răng và xương hàm, bệnh nhân thường cần kết hợp niềng răng và phẫu thuật hàm. Niềng răng giúp sắp xếp lại vị trí các răng, còn phẫu thuật hàm giúp điều chỉnh cấu trúc xương. Việc phối hợp hai phương pháp này sẽ mang lại hiệu quả điều trị tối ưu và ổn định lâu dài.

6. Cách phòng ngừa răng đối đầu và duy trì răng đều đẹp

Để phòng ngừa khớp cắn đối đỉnh và duy trì hàm răng đẹp, bạn cần thực hiện các biện pháp sau:

  • Chăm sóc răng miệng hàng ngày: Chải răng ít nhất 2 lần/ngày và sử dụng chỉ nha khoa hàng ngày để loại bỏ mảng bám và ngừa sự hình thành của cao răng.

  • Kiểm tra định kỳ: Kiểm tra và làm sạch răng, phát hiện sớm các dấu hiệu của khớp cắn đối đỉnh và đề xuất các biện pháp điều trị kịp thời.

  • Thay đổi thói quen không lành mạnh: Các thói quen không tốt như đẩy lưỡi, mút ngón tay hay thở qua miệng có thể làm thay đổi hình dạng của miệng và gây ra khớp cắn đối đỉnh.

Hy vọng qua những thông tin hữu ích được chia sẻ ở bài viết trên, bạn đã hiểu rõ hơn về tình trạng khớp cắn đối đầu. Để biết được mình có đang gặp phải tình trạng này hay không, hãy đến ngay Nụ Cười Việt để được thăm khám và tư vấn cụ thể.