Sâu kẽ răng: Nguyên nhân, dấu hiệu và cách điều trị hiệu quả
Khác với sâu răng ở mặt ngoài, sâu kẽ răng phát triển ở vị trí tiếp xúc giữa hai răng, nơi bàn chải đánh răng khó tiếp cận và vệ sinh kém hiệu quả. Bệnh lý này không chỉ gây cảm giác ê buốt, đau nhức mà còn tiềm ẩn nhiều biến chứng nghiêm trọng nếu không được phát hiện và điều trị kịp thời.
Bài viết dưới đây sẽ giúp bạn hiểu rõ sâu kẽ răng là gì, nguyên nhân và các dấu hiệu nhận biết, mức độ nguy hiểm cũng như những phương pháp điều trị, phòng ngừa hiệu quả.
1. Sâu kẽ răng là gì?
Sâu kẽ răng là tình trạng tổn thương mô cứng của răng tại vị trí tiếp giáp giữa hai răng. Đây là nơi thường xuyên tích tụ thức ăn và mảng bám nhưng khó làm sạch bằng việc chải răng thông thường. Khi mảng bám không được loại bỏ, vi khuẩn sẽ phân hủy carbohydrate trong thức ăn và tạo ra acid bào mòn men răng, dần dần ăn sâu vào ngà răng và tạo thành lỗ sâu.
Khác với sâu mặt ngoài, do vị trí khuất tầm nhìn nên sâu kẽ răng thường khó phát hiện trong giai đoạn đầu. Người bệnh thường chỉ nhận biết khi răng đã bắt đầu đau nhức, ê buốt hoặc khi có lỗ sâu rõ rệt. Điều này khiến cho việc điều trị trở nên phức tạp hơn và tăng nguy cơ phải áp dụng các phương pháp can thiệp sâu.
2. Nguyên nhân gây sâu kẽ răng
Sâu kẽ răng hình thành từ sự kết hợp của nhiều yếu tố, trong đó yếu tố vi khuẩn và thói quen vệ sinh răng miệng đóng vai trò chính.
- Mảng bám tích tụ lâu ngày: Trong quá trình ăn uống, thức ăn thường bị kẹt lại ở kẽ răng, đặc biệt là thức ăn có chứa đường và tinh bột. Nếu không được làm sạch, vi khuẩn trong mảng bám sẽ sử dụng các chất này để sản sinh acid, từ đó phá hủy men răng.
- Vệ sinh răng miệng sai cách: Nhiều người chỉ tập trung chải mặt ngoài và mặt nhai, bỏ quên các kẽ răng. Việc không sử dụng chỉ nha khoa hoặc máy tăm nước khiến cho mảng bám ở kẽ răng này tồn tại lâu ngày, trở thành điều kiện thuận lợi cho sâu răng phát triển.
- Cấu trúc và tổ chức răng trên cung hàm: Khi răng mọc không đều, khoảng cách giữa các răng trở nên quá chật, răng mọc khấp khểnh sẽ khiến thức ăn dễ vướng víu, vệ sinh gặp khó khăn làm cho nguy cơ bị sâu kẽ sẽ cao hơn. Ở trường hợp này, bạn cần thực hiện chỉnh nha để giải quyết triệt để và kết hợp cùng các biện pháp khắc phục bệnh sâu răng.
Răng lộn xộn khiến việc vệ sinh khó khăn dễ gây sâu kẽ răng
- Chế độ ăn nhiều đường và tinh bột: Các thực phẩm chứa nhiều đường như bánh kẹo, socola, nước ngọt có gas hay trà sữa là một trong những yếu tố hàng đầu gây sâu răng. Khi các loại đồ ăn, thức uống này bám lại trên bề mặt răng sẽ trở thành nguồn “thức ăn” lý tưởng cho vi khuẩn phát triển. Vi khuẩn chuyển hóa đường thành axit, tấn công men răng và dần hình thành lỗ sâu. Nếu thói quen này kéo dài mà không vệ sinh răng miệng kỹ lưỡng, nguy cơ sâu răng sẽ tăng lên.
-
Thiếu fluor: Fluor có tác dụng củng cố độ cứng của men răng, bảo vệ răng trước sự tấn công của acid. Khi cơ thể không được bổ sung đủ fluor từ nước uống, kem đánh răng hoặc dung dịch súc miệng, răng sẽ dễ bị tổn thương hơn.
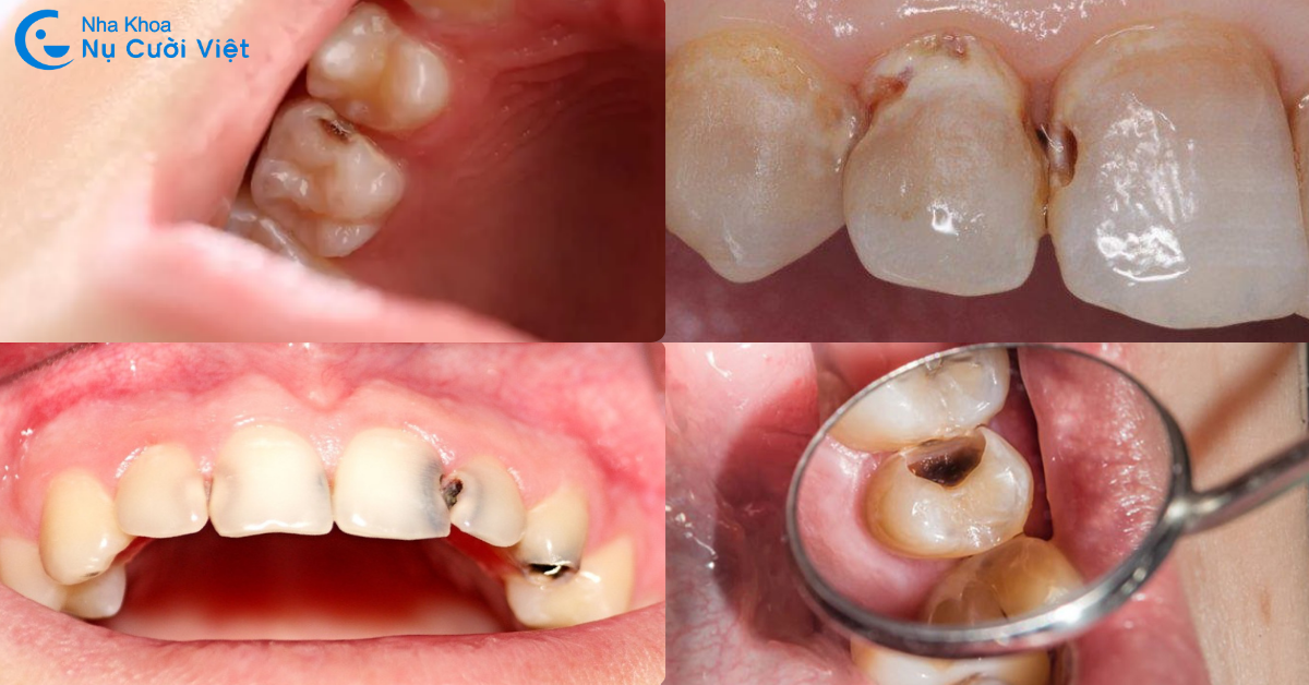
3. Dấu hiệu nhận biết sâu kẽ răng
So với sâu mặt ngoài, sâu kẽ răng khó quan sát hơn do nằm ở vị trí khuất giữa hai răng. Tuy nhiên, người bệnh vẫn có thể nhận biết nhờ những dấu hiệu đặc trưng sau:
-
Xuất hiện đốm hoặc lỗ sâu màu nâu đen ở kẽ răng: Ban đầu chỉ là vết chấm nhỏ khó thấy, nhưng theo thời gian có thể lan rộng thành lỗ sâu lớn, gây ảnh hưởng đến thẩm mỹ cũng như khả năng ăn nhai.
Sâu kẽ răng xuất hiện ở nhiều vị trí răng
-
Ê buốt khi ăn nhai hoặc khi tiếp xúc với nhiệt độ: Khi sâu đã lan vào phần ngà, lớp men bảo vệ không còn nguyên vẹn, các ống ngà bị lộ ra. Vì thế chỉ cần ăn đồ nóng, lạnh hoặc cắn thức ăn cứng cũng dễ thấy ê buốt, khó chịu.
-
Hôi miệng, hơi thở có mùi khó chịu: Các lỗ sâu thường giữ lại thức ăn và mảng bám, tạo môi trường thuận lợi cho vi khuẩn sinh sôi. Đây chính là nguyên nhân khiến hơi thở có mùi hôi, gây mất tự tin trong giao tiếp.
-
Đau nhức, khó chịu ngay cả khi không ăn uống: Khi vi khuẩn tấn công sâu vào ngà hoặc tủy, người bệnh có thể gặp những cơn đau tự phát, âm ỉ hoặc dữ dội, không cần có tác động từ bên ngoài.
-
Kèm theo những dấu hiệu bệnh lý khác liên quan đến răng miệng như nướu, hàm,… Nếu không được điều trị sớm, bệnh có thể tiến triển thành viêm nha chu, gây tiêu xương ổ răng và dẫn đến mất răng.
4. Sâu kẽ răng có nguy hiểm không?
-
Tiến triển nhanh chóng: Một khi đã hình thành, sâu kẽ răng phát triển nhanh hơn các vị trí khác. Vi khuẩn và acid có thể tấn công đồng thời cả hai răng liền kề, ảnh hưởng nhiều răng cùng lúc.
-
Nguy cơ viêm tủy cao: Do kẽ răng nằm sâu, vi khuẩn dễ dàng lan vào tủy. Khi tủy bị viêm, bệnh nhân thường đau nhức dữ dội và phải điều trị tủy.
-
Khả năng mất răng vĩnh viễn: Nếu không điều trị kịp thời, răng sẽ bị phá hủy nặng đến mức không thể bảo tồn. Trong trường hợp này, bác sĩ buộc phải nhổ bỏ răng sâu để tránh ảnh hưởng sang các răng bên cạnh.
-
Ảnh hưởng thẩm mỹ, gây hôi miệng: Mùi hôi khó chịu trong miệng do vi khuẩn phát triển cùng với vết sâu đen ở kẽ răng dễ dàng lộ ra khi cười sẽ khiến người bệnh trở nên tự tin và có thể đánh mất nhiều cơ hội trong công việc, cuộc sống.
-
Ảnh hưởng sức khỏe toàn thân: Các bệnh lý nha khoa khác cũng có khả năng xuất hiện khiến hàm răng gặp nguy hiểm như mòn men răng, viêm nướu, tụt lợi…Ngoài ra, vi khuẩn từ răng sâu có thể lây lan qua đường máu, làm tăng nguy cơ đến một số bệnh lý tim mạch khác.
5. Các phương pháp điều trị sâu kẽ răng
Để điều trị sâu kẽ răng một cách triệt để, tùy theo mức độ sâu kẽ răng. Tại Nha Khoa Nụ Cười Việt luôn có những phương án khắc phục phù hợp với từng tình trạng bệnh. Cụ thể như sau:
5.1. Trám kẽ răng: Điều trị sâu răng giai đoạn nhẹ
Phương pháp này được áp dụng trong trường hợp sâu nhẹ, lỗ sâu còn nhỏ, chưa lan sâu vào tủy và mô răng khỏe mạnh vẫn còn nhiều.
Trám răng được xem như một giải pháp tối ưu đối với những trường hợp có lỗ sâu nhỏ
Quy trình trám răng thường bao gồm:
-
Bác sĩ sẽ loại bỏ phần mô răng bị sâu và làm sạch toàn bộ khu vực tổn thương.
-
Sau đó, sử dụng vật liệu trám (thường là composite) để bít kín lỗ sâu.
Ưu điểm của trám kẽ răng là nhanh chóng, chi phí thấp, duy trì được chức năng ăn nhai bình thường và tính thẩm mỹ. Vật liệu composite có màu tương tự răng thật nên khó nhận ra khi giao tiếp.
5.2. Dán sứ Veneer: Giải pháp bảo tồn răng thật tối đa
Mặt dán sứ Veneer giúp khắc phục sâu kẽ răng ở mức độ nhẹ hoặc trung bình
Quy trình thực hiện bao gồm:
-
Làm sạch vùng răng bị sâu, loại bỏ tổ chức răng hỏng.
-
Mài một lớp rất mỏng ở mặt ngoài của răng.
-
Dán miếng sứ Veneer siêu mỏng lên bề mặt răng bằng keo dán chuyên dụng.
Ưu điểm lớn nhất của Veneer là ít xâm lấn, bảo tồn tối đa răng thật. Miếng sứ mỏng ôm sát mặt răng, vừa che đi vùng sâu vừa mang lại nụ cười tự nhiên. Đây là lựa chọn phù hợp cho những trường hợp sâu kẽ răng đồng thời muốn cải thiện tính thẩm mỹ.
5.3. Bọc răng sứ: Dành cho răng sâu kẽ nặng
Khi sâu kẽ răng đã tiến triển nặng, vi khuẩn xâm nhập vào tủy hoặc phá hủy phần lớn mô răng, các phương pháp phục hình như trám răng hay dán sứ Veneer không còn hiệu quả. Lúc này, bọc răng sứ được xem là giải pháp tối ưu để vừa bảo tồn răng thật, vừa khôi phục chức năng ăn nhai và tính thẩm mỹ.
Khôi phục chức năng ăn nhai hiệu quả với giải pháp bọc sứ
Quy trình thực hiện bao gồm:
-
Trước tiên, bác sĩ tiến hành điều trị tủy để loại bỏ mô viêm nhiễm và ngăn chặn biến chứng.
-
Sau đó, răng sẽ được mài chỉnh và bọc mão sứ lên trên để phục hồi toàn diện.
Bọc sứ mang lại nhiều lợi ích: bảo vệ phần răng còn lại, ngăn gãy vỡ, phục hồi khả năng ăn nhai và đảm bảo tính thẩm mỹ lâu dài. Tuổi thọ của răng sứ có thể kéo dài 10-20 năm nếu chăm sóc đúng cách.
Thời gian điều trị sâu kẽ răng không cố định mà sẽ phụ thuộc vào mức độ tổn thương. Nếu răng sâu ở mức độ nhẹ, việc trám răng chỉ mất khoảng 30 đến 45 phút cho mỗi răng. Nếu phải điều trị tủy, thời gian có thể kéo dài từ hai đến ba buổi hẹn.
6. Cách phòng ngừa sâu kẽ răng
Để hạn chế tối đa nguy cơ mắc sâu kẽ răng, bạn nên duy trì những thói quen chăm sóc răng miệng khoa học sau đây:
Chải răng đúng cách
Chải răng ít nhất 2 lần/ ngày, sử dụng bàn chải lông mềm và chải theo hướng từ nướu lên. Cách chải này sẽ giúp làm sạch mảng bám một cách hiệu quả, đặc biệt ở vùng kẽ răng.
Sử dụng chỉ nha khoa hoặc máy tăm nước
Bàn chải đánh răng không thể làm sạch hoàn toàn kẽ răng. Do đó, việc kết hợp dùng chỉ nha khoa hoặc máy tăm nước mỗi ngày sẽ giúp loại bỏ thức ăn thừa, hạn chế mảng bám và giảm nguy cơ sâu kẽ răng đáng kể.
Ngoài đánh răng nên kết hợp dùng chỉ nha khoa để vệ sinh răng miệng
Bổ sung fluor cho răng
Fluor có tác dụng tăng cường men răng, giúp răng chắc khỏe và chống lại sự tấn công của acid. Bạn nên sử dụng những loại kem đánh răng có chứa thành phần Fluor. Dưới tác dụng của chất này sẽ hỗ trợ củng cố răng hiệu quả. Hơn nữa, giúp tăng khả năng chống lại vi khuẩn phát sinh trong khoang miệng.
Hạn chế thực phẩm gây hại cho răng
Kiểm soát những đồ ăn, thức uống nạp vào cơ thể hàng ngày. Hạn chế sử dụng các loại thực phẩm chứa nhiều tinh bột, đường, nước ngọt có gas… Thay vào đó, bạn nên bổ sung thường xuyên những thức ăn giàu dinh dưỡng, vitamin cùng nhiều khoáng chất giúp chắc khỏe xương.
Thăm khám răng miệng định kỳ
Khám nha khoa 3-6 tháng/lần sẽ giúp bác sĩ phát hiện sớm các tổn thương ở răng và nướu. Nếu sâu kẽ răng được phát hiện từ giai đoạn đầu, việc điều trị sẽ đơn giản, ít tốn kém và hiệu quả cao hơn rất nhiều.
Duy trì lịch thăm khám răng miệng định kỳ 3-6 tháng/ lần
Sâu kẽ răng là bệnh lý răng miệng phổ biến nhưng không hề đơn giản. Bệnh có thể tiến triển âm thầm và gây ra nhiều hậu quả nghiêm trọng nếu không được điều trị kịp thời. Tuy nhiên, nếu phát hiện sớm và điều trị đúng cách, sâu kẽ răng hoàn toàn có thể được kiểm soát và phục hồi. Quan trọng hơn, bạn cần duy trì thói quen vệ sinh răng miệng đúng cách, kết hợp chế độ ăn uống khoa học và thăm khám răng miệng định kỳ để phòng ngừa bệnh hiệu quả.
Nếu đang gặp phải tình trạng sâu kẽ răng hoặc có dấu hiệu nghi ngờ, hãy đến ngay Nha khoa Nụ Cười Việt hoặc liên hệ hotline 089.919.6854 (Huế) / 094.725.4343 (Đà Nẵng) để được thăm khám, tư vấn và điều trị kịp thời nhé!
Tin liên quan
DÁN SỨ VENEER CÓ BỀN KHÔNG? YẾU TỐ ẢNH HƯỞNG ĐỘ BỀN CỦA DÁN SỨ VENEER
Răng sâu bị vỡ chỉ còn chân răng: Dấu hiệu và cách điều trị dứt điểm
NGƯỜI GIÀ MẤT RĂNG NÊN CHỌN: TRỒNG IMPLANT, CẦU RĂNG SỨ HAY HÀM GIẢ THÁO LẮP
VÌ SAO CẦN CHỤP THÉP RĂNG SỮA CHO TRẺ EM? TRƯỜNG HỢP NÀO CẦN THỰC HIỆN
Người bị loãng xương có cấy ghép Implant được không? Cần lưu ý gì để tăng tỉ lệ thành công?
Trẻ 14 tuổi trồng răng Implant được không? Phương pháp thay thế hiệu quả là gì?
